来源:北京希玛林顺潮眼科医院
2017-10-18
葡萄膜炎症患者会出现眼红、眼痛、闪光等情况,如果不积极治疗会严重影响视力,甚至会导致失明。那么,葡萄膜炎治疗哪家医院比较好?
北京希玛林顺潮眼科医院是一所专注于眼科疾病治疗的专业眼科医院,遵循“好的仪器会给患者带来更好的治疗”理念,选用了先进的各种眼科检查治疗仪器设备,并拥有海内外经验丰富的眼科医生坐诊,为患者进行严格诊治,提供专业、正确的治疗。

(前葡萄膜炎的炎症细胞和渗出可以严重影响视力)
出现类似病情,不清楚是否患病?点击在线咨询
北京希玛眼科医院为不同葡萄膜炎患者量身定制治疗方案
葡萄膜分三类:前葡萄膜炎,后葡萄膜炎和全葡萄膜炎。类型不同,病人的症状可以有很大差别。希玛医生为患者严格诊断,针对病症用药。
1、前葡萄膜炎治疗
原则:应放大瞳孔以预防虹膜后面发生粘连和拉开新鲜的虹膜粘连,尽快消炎以防止发生眼组织的进一步破坏和其他并发症的发生,如确定为病菌感染引致的炎症,则应进行抗感染治疗。而前葡萄膜炎如治疗适时,多不会对视力造成永久的影响。
(1) 睫状肌麻痹剂:可以预防虹膜后粘连和解除睫状肌痉挛,减轻患者疼痛。常用的睫状肌麻痹剂有以下几种:阿托品、后马托品、托吡卡胺。
(2) 消炎药物:包括类固醇药物和非类固醇的消炎药。
(3) 并发症的治疗:并发性白内障应在炎症得到很好控制的情况下进行白内障手术治疗。继发性青光眼应使用消炎药物治疗,并同时以降眼压药物治疗。
2、后葡萄膜炎和全葡萄膜炎治疗
后葡萄膜炎和全葡萄膜炎病因复杂,而且很多与身体免疫疾病有关联,治疗方案根据不同的病情而各有不同,不能一概而论之。主要包括以下的原则:
(1) 对可治疗性葡萄膜炎对症下药:例如感染性、外伤性、肿瘤性葡萄膜炎等,应针对引起葡萄膜炎的原本疾病进行治疗。
(2) 对可控制性葡萄膜炎控制其发炎情况:例如系统性红斑狼疮、风湿关节炎等,可以使用类固醇等药物来进行控制。
(3) 控制不明原因性葡萄膜炎:主要目标是预防可能损伤视力的并发症,尽量减少病人的不适症状。目前用的三类药物是:眼睛使用散瞳剂,类固醇药物滴眼,或在严重的病例中,可以眼内注射类固醇药物以控制病情,以及必要时甚至可以考虑使用全身性免疫抑制剂。
并发性白内障、继发性青光眼、眼球萎缩等是前葡萄膜炎容易引发的并发症,均可以影响视力,严重时甚至可以致盲;而后葡萄膜炎容易引起黄斑前膜、黄斑及视神经水肿、视神经炎、视网膜下新生血管,严重的后果会是眼球萎缩,而导致视力完全丧失,所以尽早治疗是关键。

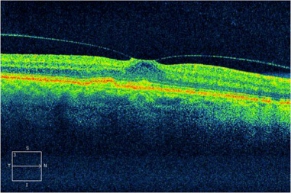
(OCT检查显示后葡萄膜炎患者的黄斑前膜,其中纤维膜在黄斑表面产生牵拉的力量,可引致黄斑水肿或裂孔,引致视野中央出现暗点)

(后葡萄膜炎视神经发炎令视神经充血和水肿明显,可严重影响视力)
林顺潮教授亲诊葡萄膜炎疾病
林顺潮教授是眼科医生,先后取得中国香港大学内外全科医学士学位、中国香港中文大学医学博士学位、英国皇家眼科学院院士及眼科科学院院士。曾任亚太眼科医学院会长、亚太玻璃体视网膜学会会长、青光眼协会理事及眼科科学院院士、青光眼协会理事、眼科医学委员会理事,被视为亚太眼科界主要人物之一。
林教授擅长各种眼科疾病的诊断与治疗,有着丰富的临床诊疗经验,在葡萄膜炎治疗方面,林教授根据患者的个人病情制定具针对性的治疗方案,深受广大患者的信任。
温馨提示:北京希玛林顺潮眼科医院已经开通网上
咨询平台,如有疑问请拨打健康热线电话010-53090998。